微創手術治療腰椎滑脫 67歲農民重獲新生

67歲的黃先生,去年務農時摔傷後又搬運重物,造成腰痛症狀不斷加劇,嚴重時甚至無法走路,就醫檢查為腰椎滑脫,經花蓮慈濟醫院神經脊椎微創外科主任洪祥益以腰椎微創融合手術治療,黃先生在術後隔天下床走動,發現不痛了,一解半年多來的疼痛,讓黃先生開心說道:「回歸不痛的生活,真好。」

洪祥益主任表示,微創融合手術可以保留肌肉,利用撐開器順著肌肉紋理建立手術路徑,減少組織破壞,不僅傷口小、術後疼痛感低,有助於加速恢復。

「最痛的時候,就像是針在扎,沒有辦法動,連路都走不了。」活動自如,走起路來與常人無異的黃先生說,當時雖知是腰椎滑脫壓迫神經造成疼痛,但害怕開刀就此下半身癱瘓,到多家診所進行復健、中醫治療,只是疼痛的症狀沒有得到改善,反而越來越痛,只好到花蓮慈院接受進一步的檢查和治療。

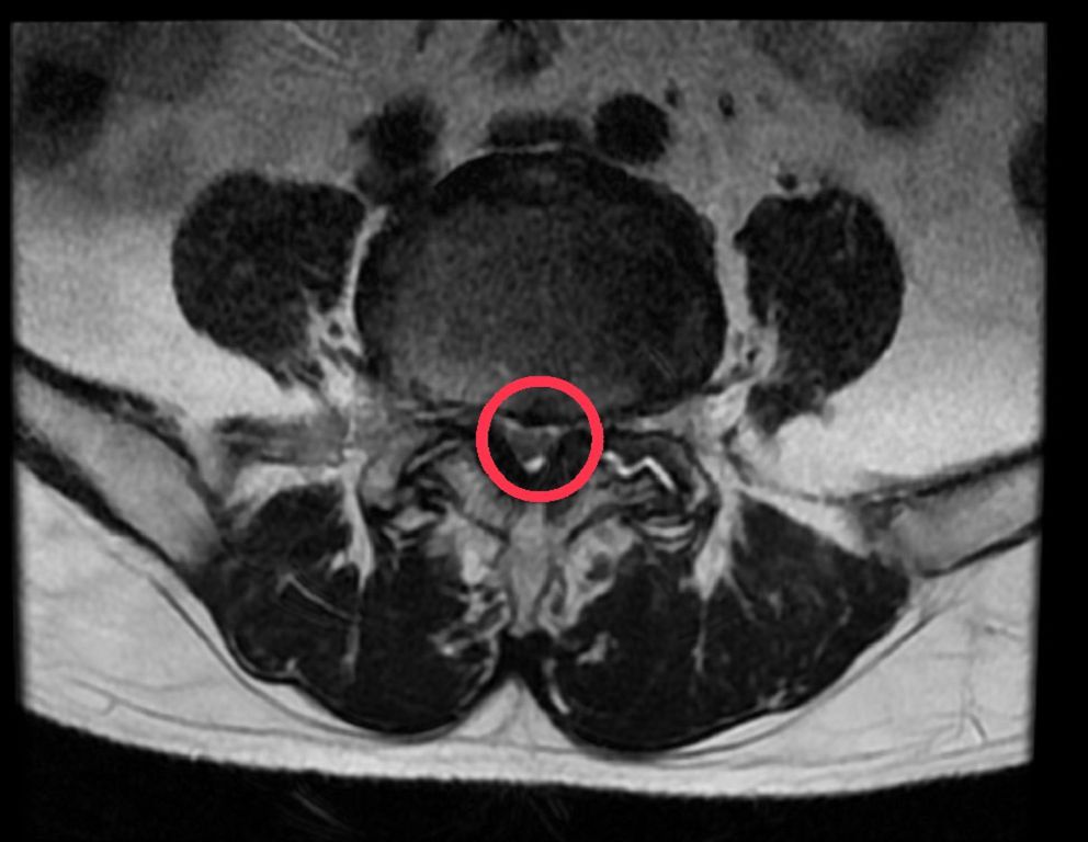
磁振造影顯示黃先生腰椎滑脫,神經受到壓迫。

洪祥益主任表示,經由腰椎X光及核磁共振造影檢查,發現黃先生第4、5節腰椎滑脫及嚴重壓迫神經,同時椎間盤突出,評估後建議以腰椎微創融合手術治療。微創融合手術可以保留肌肉,利用撐開器順著肌肉紋理建立手術路徑,減少組織破壞,不僅傷口小、術後疼痛感低,有助於加速恢復;傳統手術需將背部肌肉剝離,傷口較大、術後恢復較慢,且容易導致核心肌群肌肉萎縮纖維化、僵硬痠痛的後遺症。

磁振造影顯示黃先生腰椎滑脫,神經受到壓迫。

術後隔天,黃先生在洪醫師的鼓勵下,下床走動,他原本只想試試看,沒想到這一走,下背痛和雙腳麻痛幾乎完全消失,整個身體都輕盈放鬆許多,讓他很驚喜!黃先生說,最初因為害怕做手術,他都做好與疼痛共處一輩子的心理準備,但是洪醫師的自信及對手術的詳細說明,不僅鼓勵了他,也讓他更有信心接受手術,如今恢復良好還能做點運動真的很感恩洪醫師瓦解他的疼痛,改善了他的生活品質,他如今是一位健康快樂的老人家了。
脊椎滑脫的原因很多種,大部分與搬運重物工作、長期姿勢不良有關,另外常見原因還包括運動傷害、車禍等,洪祥益主任提醒,若是要搬重物,不要直接彎腰搬,需蹲下再將重物搬起,且可分多次搬運,避免一次搬太重導致脊椎滑脫,若工作需要搬運重物,建議可藉由重訓來加強肌力及練習正確的發力部位,避免對脊椎造成傷害。

相關報導