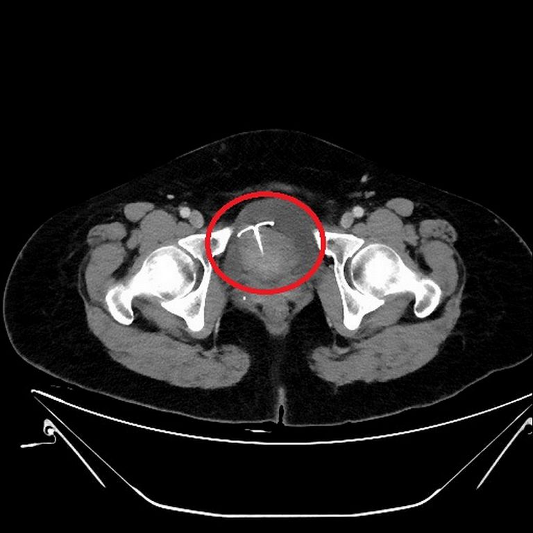
55歲的張女士日前因腹痛1個多月,本以為是腸胃症狀,至地方診所看診服藥後仍舊疼痛不止,遂至台北慈濟醫院婦產部門診就醫,經超音波檢查後發現竟是放置十餘年的銅製避孕器穿透子宮引起腹腔嚴重發炎感染且出現小腸沾黏,邱筱宸醫師以電腦斷層確認避孕器的確切位置後,執行子宮開腹切除術,將子宮摘除並仔細清理子宮及小腸的沾黏情況,術後病人恢復良好順利出院。
子宮內避孕器是現今女性常見的避孕選擇,可分為銅製宮內避孕器與黃體素避孕器,銅製宮內避孕器的原理是將避孕器上纏繞銅絲,使其於子宮內釋放銅離子,造成子宮內膜輕微發炎,讓身體誤以為現在是不適合受孕的時機,藉此干擾受精卵著床。黃體素避孕器則是利用定期釋放黃體素的方式增加子宮頸黏膩濃稠度並使子宮內膜變薄,阻礙精子與卵子結合與著床,藉此達到避孕的效果。邱筱宸醫師指出,傳統銅製宮內避孕器較容易產生不良反應,且相較於黃體素避孕器更無法貼合子宮,因此目前多以黃體素避孕器為主流,其優點在於能夠隨時取出且生育能力很快便能恢復。
而根據統計,子宮內避孕器約有千分之8的機率會排出體外;甚至有千分之2的機率會穿破子宮掉入腹腔,導致腹痛、發炎,引發腸沾黏的問題發生。邱筱宸醫師表示,子宮避孕器會穿透子宮,並非裝設時的問題,而是避孕器對子宮來說是一種「異物」,無法完全貼合子宮的立體空間,所以身體會排斥它,因此避孕器容易透過子宮進入腹腔裡,掉出的避孕器若卡在患者膀胱,會產生血尿;掉進腹腔也可能引發化膿發炎,嚴重甚至會造成敗血症和腹膜炎。
邱筱宸醫師提醒,避孕器的能否置入需視個人情況與醫師判斷而定,如經醫師診斷月經量過多、懷疑有子宮腫瘤或罹患癌症者便不適合放置子宮內避孕器。而有些避孕器裝置時間一長便會產生細菌,形成腹腔慢性感染,器官組織沾黏纖維化,甚至腸阻塞。因此置入後於前3個月與後續每年都需透過超音波追蹤避孕器位置是否正確,且避孕器的放置期限為5年,5年後須回診取出,避免產生不可逆的嚴重併發症。

