28歲的張小姐前陣子因為左手痛,陸續到診所看中醫與復健科,但是三個月過去都沒有顯著改善,狀況還越來越嚴重,連舉手都有困難。疼痛部位蔓延到肩背,一日更痛到無法離開床上、全身發冷,到醫學中心檢查發現她的胸腔有一顆相當巨大的腫瘤。張小姐因畏懼手術,在處理急性症狀後先行返家,但數天後再次因胸痛、背痛、咳嗽到無法平躺來到台北慈濟醫院。檢查發現,位於前縱膈腔的腫瘤有7公分大,已經壓迫神經,胸腔外科洪嘉聰醫師以開胸手術將腫瘤取出,經過化驗,確定是有頭髮、牙齒、肌肉、氣管黏膜和腦組織的成熟畸胎瘤。而張小姐因腫瘤造成的肺積水、咳嗽、手痛都在術後逐漸康復,並透過持續的肺部復健找回健康。
胸腔中左右肺臟所在的空間為肋膜腔,而兩個肋膜腔的中間空間就是縱膈腔。縱膈腔有心臟、氣管、食道、脊椎等器官,可分為心臟所在的中縱膈腔,心臟到胸骨間的前縱膈腔和脊椎一帶的後縱膈腔。其中,前縱膈腔有好發的四種腫瘤,包括胸腺瘤、甲狀腺腫瘤、畸胎瘤和淋巴癌。而畸胎瘤是胚胎在發育過程中,部分胚層脫離到身體其他部位後,逐漸分化生長的一種腫瘤,男女都有可能發生,但常見發生部位為男性的睪丸和女性的卵巢,發生率約10-20%。
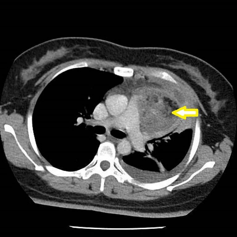
洪嘉聰醫師說明,畸胎瘤是出生就存在的於人體的腫瘤,但是否有症狀會因腫瘤大小而異,以張小姐為例,她的畸胎瘤在胸腔逐漸增大,壓迫肺臟且侵犯肋膜造成疼痛,走路需要依賴氧氣,嚴重影響生活。而且這個畸胎瘤的位置臨近主動脈、肺動脈及無名靜脈,若以胸腔鏡微創手術切除有大出血風險,因此醫療團隊選擇正中胸骨切開術,將胸骨鋸開後,將腫瘤與周邊的血管、組織的沾黏撥離,最後將腫瘤完整取下。洪嘉聰醫師提到,畸胎瘤最適切的切除方式是在不弄破的情況下完整切除,以免腫瘤組織或細胞掉落體內未清除乾淨,造成感染或復發。
洪嘉聰醫師提醒民眾,雖然畸胎瘤大部分是良性的,但無特殊藥物可供治療,一般建議民眾一旦經檢查發現就要儘早接受手術治療,並完整切除病灶。要是有身體不適的症狀還是要儘早就醫,以免病症惡化更為嚴重。

