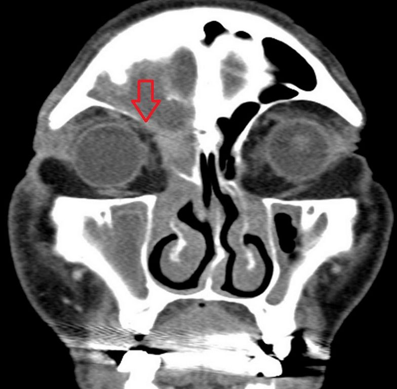
84歲的李爺爺半個月前突然出現右眼腫脹情形,但卻一直不以為意,直到過了兩週出現疼痛、影響視野,才至坊間診所就診,後因症狀嚴重遂轉至台北慈濟醫院急診。在排除眼科疾病後,耳鼻喉科吳姳萱醫師透過電腦斷層發現其鼻竇黏膜腫脹,導致鼻竇開口阻塞,進而影響眼周,出現膿瘍情形,診斷為急性鼻竇炎併發右眼上皮膿瘍,遂執行3D立體定位導航微創鼻竇內視鏡手術及右側上眼皮膿瘍切開引流手術,術後李爺爺症狀緩解,定期回診追蹤。
鼻腔由許多軟骨及硬骨組成,形成大大小小的隔間,分別有額竇、篩竇、蝶竇及上頷竇,主要功能包括減輕頭骨重量、幫助呼吸道保濕與過濾、聲音共鳴及保護腦部與臉部的重要結構,一旦發炎或阻塞,就會導致鼻竇炎。吳姳萱醫師說明:「鼻竇炎依照病程可分為急性(通常小於4週)與慢性(超過12週),病人通常會出現鼻塞、分泌物增加、臉部疼痛、嗅覺減退或喪失等症狀。幼童、長者或免疫力低下的族群就可能因簡單的鼻竇炎而影響周圍器官與組織,從而產生併發症,例如眼眶蜂窩性組織炎及眼膿瘍、腦膜炎、海綿竇栓塞等等。」

鼻竇炎的診斷通常以病史詢問、鼻鏡理學檢查進行,以藥物治療為主要選擇,但若是像李爺爺一樣影響到周圍器官組織,就需透過手術解除病灶。過去鼻竇炎手術是翻開兩邊上嘴唇,在牙齒上方橫切一刀,再將前臉頰的骨頭打開進行手術,術中出血可能影響視野,容易破壞周圍正常組織,導致傷口較大、恢復較慢。而隨著醫療技術的推展,醫師首先可利用3D導航確認病灶,再藉由內視鏡以微創削切刀切除組織。與此同時再透過引流方式,將膿瘍清除。吳姳萱醫師指出:「微創削切刀是一種結合旋轉切割與吸引抽吸功能的器械,透過快速旋轉的刀頭將組織細碎切除,同時將碎屑與分泌物清除,保持視野清晰,如此便能減少對正常組織的破壞,手術傷口也相對較小。」
吳姳萱醫師提醒,近期病毒性感冒流行,若病程拖延即可能導致鼻竇炎,民眾若出現上述不適症狀,且持續一週未有好轉,建議盡早至耳鼻喉科求診。

