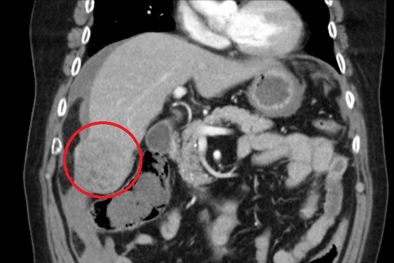
70歲的林爺爺五個月前因劇烈腹痛來到台北慈濟醫院求治,電腦斷層檢查發現其肝臟有一5公分大腫瘤且出現破裂情形,遂會診一般外科陳昱天醫師,後續進行抽血及超音波檢查確認腫瘤未轉移,診斷為早期肝癌,入住加護病房觀察。由於林爺爺與太太相依為命,沒有工作,考量經濟壓力,起先婉拒所有治療方案,所幸在醫師、專師、護理師及社工師不懈協調下,最終由陳昱天醫師執行手術,將腫瘤及周邊組織切除,術後林爺爺恢復狀況良好,五天後平安出院。
B型、C型之病毒性肝炎及肝硬化與肝癌息息相關,肝硬化病人每年約有3至5%的機率發展成肝癌。據衛生福利部國民健康署統計,台灣每年約有10,000人確診肝癌,7,700人因肝癌死亡,高居癌症發生率第三名及死亡率第二名,飲酒、患有B型肝炎都是好發原因之一。陳昱天醫師說明:「肝臟主要有營養代謝儲存、製造膽汁、分解毒素以及凝血的作用,是人體相當重要的免疫器官,肝癌的早期症狀並不明顯,往往要到腫瘤增大甚至破裂或病情達中後期才會有腹痛、噁心或黃疸指數過高等情形。若遲遲沒有就醫,當腫瘤侵犯到血管或發生遠端轉移時,則可能發生腸胃道出血或腹膜炎的併發症,不可不慎。」
肝癌的診斷除了結合臨床表現外,還需藉由抽血檢查檢驗肝功能狀態,並利用腹部超音波、電腦斷層或核磁造影確認腫瘤型態、大小以及是否有轉移。化學治療、放射線治療、標靶藥物治療及手術治療等都是現今肝癌的治療選擇之一,手術治療方面,有腹腔鏡微創手術、達文西機械手臂手術及傳統開腹手術等方式,腹腔鏡手術及達文西手術是利用在腹部開一些小傷口深入肝臟處,在影像系統的輔助下進行切除;後者則是從病人右上腹劃開約20公分傷口,並同樣將病灶切除。陳昱天醫師表示:「兩者手術的差別在於傷口大小,病人疼痛感會有所不同,恢復速度也不一樣,而手術安全性則是相當,但須注意病人的心肺功能是否足以負荷手術。」而腫瘤切除後,肝臟會產生生長因子、細胞激素、賀爾蒙等,刺激肝臟內細胞的複製和增生,有助於復原,因此術後的營養攝取尤為重要。
肝臟因為沒有痛覺神經,又被稱為「沉默的器官」,但只要早期發現並予以手術,五年存活率可達70%,陳昱天醫師提醒民眾應多留意身體變化,盡量避免過量飲酒或熬夜,並定期進行健康檢查,才能達到有效預防之目標。

