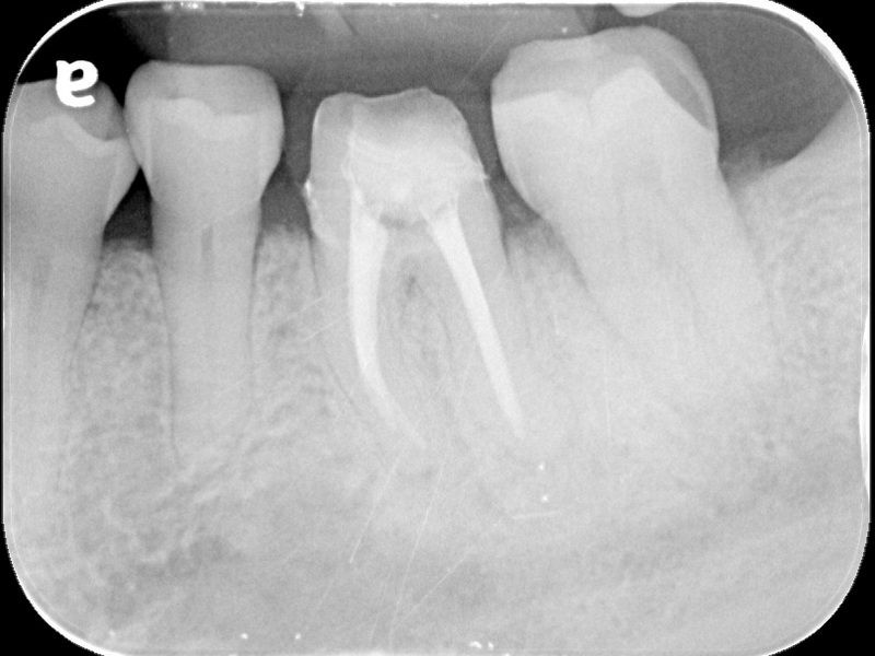
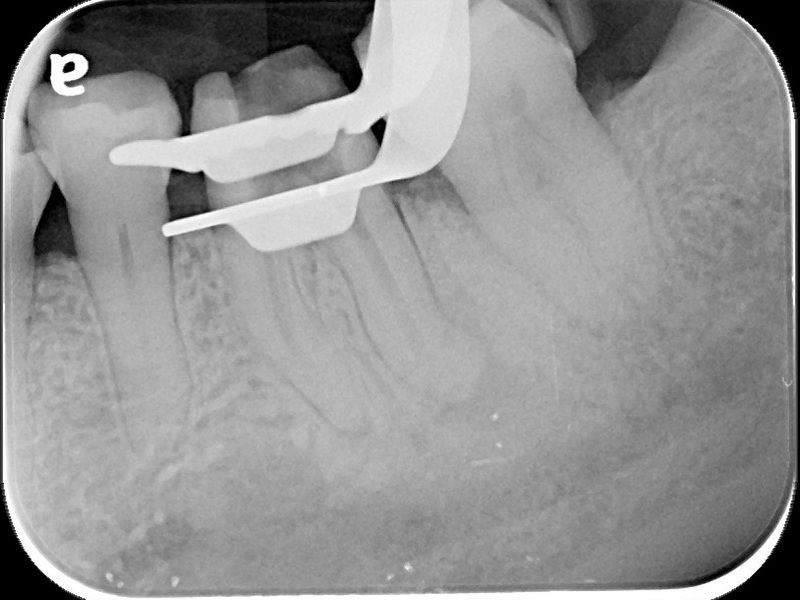
74歲的陳爺爺左下顎第一大臼齒處多年前曾接受根管治療,並裝上牙套,去年年中因為該處長了膿包,出現不適感,在坊間診所拆除舊牙套後,轉診來到台北慈濟醫院牙科部牙髓病科黃耀民醫師門診,希望在不拔牙的情況下解決膿包問題。透過X光及臨床檢查,黃耀民醫師發現膿包位在大臼齒頰側靠後方位置,且牙根底部有黑影表示有發炎狀況,左側根管內亦留存上次根管治療的分離器械。黃耀民醫師在顯微鏡視野下,利用超音波器械將根管內原有的馬來膠針封填物及分離器械移除,並徹底清潔根管系統,最後做緊密的封填。半年後回診,陳爺爺無任何不適,牙根尖的發炎狀況已經消失,膿包也未再出現,便返回原診所重做牙套。
牙齒大致可分為牙冠及牙根部,牙冠是口腔中肉眼可見的部分,牙根有牙齦及齒槽骨等牙周組織包覆,而牙齒最內處則有神經血管等牙髓組織。黃耀民醫師指出:「牙髓組織具有傳遞牙齒感覺的功能,一旦蛀牙、外傷、磨牙等造成牙斷、牙裂或嚴重牙周病,可能會導致牙髓受到病菌感染發炎,且無法復原而壞死。」這時若沒有接受妥善的根管治療,可能會出現牙齒疼痛無法咀嚼碰觸、牙床腫脹、牙根周圍骨質流失缺損,甚至引發蜂窩性組織炎、骨髓炎等嚴重感染。


根管治療是將根管系統做徹底的清創,藉由治療器械及殺菌藥水移除所有的牙髓組織及感染原,最後再用根管封填材料做緻密的充填,以維持清潔環境並減少病菌再次入侵感染的機會。黃耀民醫師提到,根管治療是為了增加保留牙齒的機會避免被拔除,但因為操作範圍狹小,且根管型態複雜多變,且可能還有根管彎曲、鈣化阻塞等現象,過去只能倚靠醫師臨床經驗及手感進行治療,容易有清創程度不足而導致治療效果不佳的現象。而牙科顯微鏡是現今輔助治療的新趨勢,可提供充分的照明及最大25至30的放大倍率,讓醫師更能看清楚根管系統,再搭配超音波器械,以最少破壞齒質的方式,做最大程度的清潔。一般而言,傳統根管治療的成功率約7至8成,而顯微鏡輔助根管治療的成功率可高達9成。
牙科顯微鏡除了適用於複雜型根管系統的治療外,在根管穿孔修補、根管內分離器械移除、齒裂檢查、活髓治療等方面都扮演重要的角色。另外,在根尖手術或牙周病手術時若能搭配顯微鏡,則更能有效清除掉肉眼不易看見的發炎感染組織,提高治療的成功率。牙周病科蘇穎珊醫師也表示牙科顯微鏡也是牙周治療的新利器,除了可以精細觀察牙周病灶以及精確找到致病因子進行有效的清潔,在手術治療上藉由放大設備可以進行微創治療減小傷口,縮短癒合期,提高治療的效率。
牙齒兼具咀嚼、美觀及輔助發音等功能,黃耀民醫師提醒,民眾應每天確實做好牙齒清潔,避免頻繁咀嚼硬物或耐咬的食物(如花生堅果、風乾食品等)。一旦有不適症狀需趕快就醫,勿擅自服藥,並定期至醫療院所進行洗牙檢查,以維護牙齒健康。


