34歲的郭先生本身是鼻子過敏體質,在年輕時曾動過鼻竇炎與鼻中膈彎曲手術,日前他因為工作壓力大,感冒又過敏,導致演變成遲遲好不了的鼻竇炎。雖然去診所看診、吃藥好幾個禮拜,也嘗試消除過敏原,但是鼻肉腫脹、膿鼻涕完全沒有改善,使他必須張嘴呼吸、無法熟睡,隔天上班頭昏腦脹、工作效率降低。郭先生來到台北慈濟醫院,耳鼻喉科陳昱安醫師考量他的情況已經變成慢性鼻竇炎,施行「功能性內視鏡鼻竇手術」,兩個禮拜後,郭先生恢復正常生活,不再不適。
頭部共有四對鼻竇,左右各一,分別為上頷竇、篩竇、額竇、蝶竇,功能為減輕頭顱重量、過濾空氣與增加鼻腔濕度。如果因為感冒感染成鼻竇炎,初期會出現黃綠色鼻涕、鼻塞等症狀,容易發生在有鼻腔結構異常如嚴重鼻中膈彎曲、鼻甲肥厚、息肉增生或鼻子嚴重過敏、慢性鼻炎的人,小朋友因為清潔鼻腔不易、鼻竇發展未成熟,也是鼻竇炎易發生的族群。急性鼻竇炎要是持續3個月左右仍未痊癒就會變成慢性鼻竇炎,陳昱安醫師指出,慢性鼻竇炎的發生率約10%,若未予以治療,可能症狀惡化成長期鼻塞、張口呼吸、鼻涕倒流導致夜咳,影響睡眠品質,嚴重可能嗅覺異常或不可逆的嗅覺損傷、鼻腔結構被破壞,此外,鼻竇緊鄰眼眶和腦部,病菌若是轉移造成眼部感染或腦部感染,後果將不堪設想。
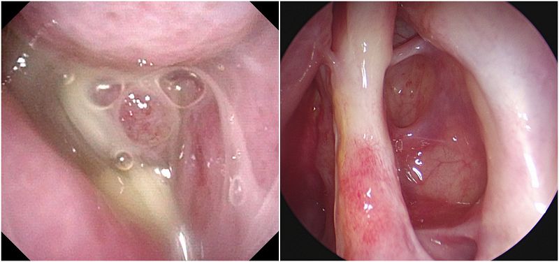
鼻竇炎的診斷除了症狀評估、內視鏡檢查,必要時也會輔以X光確認發炎情況、電腦斷層辨識發炎位置。陳昱安醫師表示,鼻竇炎初期可以以一般感冒藥治療,可是如果變成慢性鼻竇炎、出現嚴重併發症或影響日常生活的情況就需要手術治療。不同於傳統手術必須將發炎鼻竇整個切除,破壞鼻腔構造,「功能性內視鏡鼻竇炎手術」是透過鼻孔的自然孔洞將內視鏡伸入病灶,將腫脹的息肉或病灶切除,擴大鼻竇開口並清除發炎黏液,使鼻竇開口通暢,針對鼻中膈彎曲或結構異常的病人,耳鼻喉科醫師也會同時手術矯正鼻腔構造。一般而言,此類手術初期成功率高達98%,且追蹤到第四年的成功率仍有高達94%,即使是二次手術,只要手術方式得宜,病灶切除完善,也可以達到與首次手術相當的成功率。
鼻竇炎手術後的復發率約5-15%,復發原因包括病灶未完整切除、過敏未徹底控制等,因此術後仍須用藥物控制、保養鼻腔環境。秋冬是容易感冒的季節,因此併發鼻竇炎的機率也相對增加,陳昱安醫師提醒民眾,急性鼻竇炎很常見,也因此容易被當成小感冒忽略,未積極就醫,可是要是延誤導致息肉增生和慢性發炎,就得依靠手術治療,民眾千萬不要忽視早期症狀,越早就醫控制,越能避免惡化成不可逆的傷害。

