60歲居住在臺東的郭女士,因左下肢連續三天劇烈脹痛到無法忍受,便來到花蓮慈濟醫院就醫,經超音波檢查發現竟是「左側下肢深部靜脈血栓」,嚴重的大塊血栓堵塞,血液無法正常回流心臟造成下肢腫脹。經心臟內科王惠生醫師利用「機械式血栓抽吸裝置」清除血栓,並在狹窄處置放支架,當晚症狀即明顯獲緩解,觀察三日後返家休養。

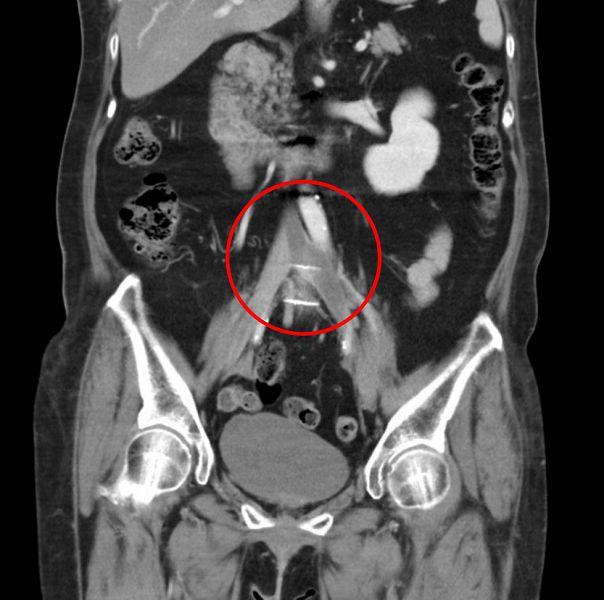
透過超音波及電腦斷層檢查,郭女士罹患的左側下肢深部靜脈血栓,位於左下髂肢靜脈和下腔靜脈的交叉處,屬於高位血栓,因下腔靜脈是腹部以下血流匯集的血管,包括骨盆、子宮、卵巢、泌尿道的靜脈都會經過,下半身血流的主要幹道被大塊血栓塞住,血液回流差,才會導致骨盆腔以下部位疼痛異常。王惠生醫師與郭女士討論治療方案,隔日就進行機械抽栓手術。
清除血栓後,王醫師用血管內超音波檢查,發現有一段明顯狹窄的區域,推測可能是因長期勞動導致椎間盤突出,往前推的脊椎骨壓迫靜脈往腹部大動脈造成「髂靜脈壓迫症候群」;為了維持日後管徑的暢通,在此處靜脈置放支架。
「第一天突然劇痛的時候只是腿有點腫,到第三天起床嚇了一跳,整條腿已經腫到跟象腿一樣,還會發亮!還一度痛到地上打滾。」郭女士平時做看護或務農,近半年經常感覺腰痠背痛,影響到工作狀態和睡眠品質,原以為只是普通拉傷,會自行慢慢痊癒,沒想到後來左腿開始疼痛腫脹,且症狀越來越嚴重,不得已才就醫。因為曾在花蓮慈院照顧過病人,對醫療團隊十分信賴,因此從臺東搭火車到花蓮慈院尋求協助
郭女士抵達醫院時,右腳腿圍約46公分,血管堵塞的左腳腿圍則是將近60公分,腫到皮膚會發光。王惠生指出,若沒有進一步醫治,病人將會在長時間的疼痛中,因血流不通而慢慢生成「側枝血管」,也就是生出很多小靜脈繞道讓血液能回流到心臟。只是即便有了新的血管,仍不見得能完全緩解下肢的淤塞,還可能會出現「栓塞後症候群」,從此生活無法擺脫未清除血栓的腿部疼痛,「因為小路再多條,都不如一條大路好用」。
王惠生表示,被血栓堵住的血管若一直不暢通,淤塞久了,甚至可能出現下肢靜脈潰瘍,出現淺層不易癒合的傷口。無論是原先血栓造成堵塞的不適,還是傷口帶來的疼痛與感染風險,皆與患者的生活品質息息相關,因此民眾出現類似症狀時,切勿拖延,應及早就醫接受治療,若能在開始疼痛的兩週內將血栓清除,獲得的治療效果將會最好。
