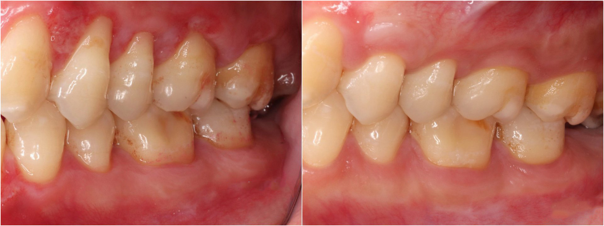
許多人有刷牙力道越大、牙齒就會越乾淨的錯誤認知。26歲的朱小姐因為刷牙時經常牙齦流血、疼痛而來到台北慈濟醫院牙科就醫,蘇穎珊醫師發現她的牙齦不但發炎,還有退縮、牙根外露、牙齒變長的情形,於是詢問她的牙科病史、日常口腔清潔情形,並安排放射影像檢查,最後確定她是使用刷毛過硬的牙刷,且刷牙力道過大造成的牙齦退縮。因此蘇穎珊醫師先給予正確的口腔清潔衛教,矯正她的刷牙方式,確定她能正確刷牙後,再透過「皮下結締組織移植術」替朱小姐執行牙根覆蓋手術,讓她的牙齦恢復成正常的厚度與高度,術後持續追蹤,朱小姐的牙齦維護得相當健康,不再發炎流血。
牙齒分為牙冠、牙根兩部分,牙冠是顯露於口腔的部分,主要為咀嚼功能,外面有一層牙釉質(琺瑯質),為人體最堅硬的組織;牙根則是在牙槽窩內支撐著牙齒,外面覆蓋著一層牙骨質。健康的牙齦呈現粉紅色,是外型結實緻密、具有彈性且完整包覆齒頸部的口腔黏膜組織。蘇穎珊醫師指出,正常牙齦的高度應位於牙釉質、牙骨質的交界處,可是隨著年齡增加,牙齦退縮的比例也會增加。此外,不當的牙刷與刷牙方式、刷牙用力過度、天生牙齒結構問題如邊緣軟組織較薄、高位繫帶、牙齒錯位、牙根外突或牙周炎、矯正治療及牙周治療後的副作用也都有可能出現牙齦退縮情況。台灣研究指出,30 歲以下的人,有31%的人可以觀察到牙齦退縮的現象,然而年齡大於30歲以上的人,則有大於80%的人有牙齦退縮。

牙齦退縮會造成牙根裸露,進而影響美觀,造成齒質敏感、齒頸部磨耗或牙根齲齒等的問題,因此牙周病科的醫師若從患者的牙齒外觀發現牙根裸露、牙齒變長,便會先詢問病人牙科病史、刷牙習慣,之後再輔以影像檢查確認牙齦退縮的嚴重程度,決定治療方式。蘇穎珊醫師表示:「臨床上治療牙齦退縮的手術方法眾多,包括蒂狀瓣移植、皮下結締組織移植、游離牙齦移植、引導組織再生手術、牙釉基質衍生物治療等,而替朱小姐執行的這種皮下結締組織移植術是取一塊上顎的皮下結締組織,將之移植至牙齒外牙齦不足處,上顎供應結締組織部位會自行長回,藉此重建牙齦範圍與厚度。」皮下結締組織移植術式因為是自體移植手術,所以移植後的追蹤牙齦除了術後初期增加的覆蓋範圍會再自行增長至正常位置的預測性高,是牙根覆蓋效果較佳的術式。但不管是哪一種牙齦覆蓋手術,都會因為患者本身的口腔衛生習慣以及牙齒本身結構等而有約10%~40%的復發率。
許多人為了要將牙齒刷乾淨而暴力刷牙,或選用粗硬刷毛的牙刷,但卻導致牙齦創傷。蘇穎珊醫師提醒,刷牙宜採改良式貝氏刷牙法和軟毛牙刷,民眾要規律作口腔檢查,如有牙齦退縮的情況,應讓牙周病專科醫師鑑別退縮原因、嚴重程度以及時治療。
