一名五十多歲男性使用割草機除草,沒想到取下防護罩透個氣,除草機高速旋轉的刀片卻因打到草叢中石頭裂成碎片彈起,直接射入眼睛,雖緊急就醫治療,視力仍惡化至0.1以下無法恢復。花蓮慈濟醫院眼科醫師何明山指出,割草機高速旋轉動能足以使金屬或石頭瞬間碎裂飛起,若不慎打到眼睛,嚴重者可能失明,提醒使用割草機務必做好防護,即使只是想歇息片刻,先熄火再卸下裝備為上策。
「造成單眼失明的最常見原因並不是疾病,而是意外傷害。」何明山指出,花東地區民眾受居住環境及生活習慣影響,使用除草機的人口比例和頻率都相對高,因此因割草機傷害至花蓮慈院眼科門診就醫的患者比例,相對比其他地區的醫療院所更高。經研究分析以中壯年男性患者居多,多數是在家或工作場合中受傷,有些人是全程都沒有使用護目鏡或面罩,有些人只是中途短暫地將防護設備取下,沒想到就發生意外了。相關研究成果也發表於國際專業眼科期刊「視網膜」。
何明山醫師表示,割草機在運轉時反彈的石塊、玻璃或割草機斷裂的不銹鋼刀片,射出的力道足以打破眼球,硬物更像子彈般貫穿眼睛後插在視網膜上,非常危險;一旦發生,超過一半的患者即便經過治療,視力仍低於0.1,難以恢復。又因受傷民眾大多是家中的經濟來源,對於家庭也會造成巨大影響。
約有二成六的患者會合併感染問題;何明山醫師表示,相較於其他外力撞擊或異物射入的案例,割草機意外尤其容易造成視力嚴重損害,主要原因是射進眼睛的異物都是從土壤或草叢中翻出來的,連帶極多細菌進到眼睛內,成為感染因子;若傷口發炎化膿演變成眼內炎,還會使視力更加惡化。
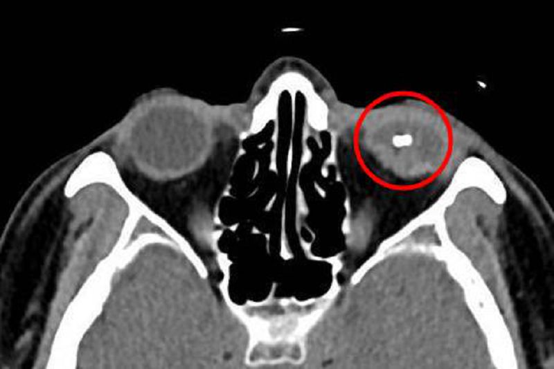
大部分割草機意外的患者因眼睛內部出血,醫師進行手術時可能較難辨認硬物的位置,導致夾取困難;若經電腦斷層(CT)檢查後確認為金屬物質,則可使用「電磁鐵」吸出,再清理傷口。何明山指出,甚至有少部分未出血的患者不知道眼睛內已存在異物,僅以為碰撞疼痛後休息一下就會慢慢恢復,並未立即就醫,不僅滯留在眼睛內的東西可能造成感染,若異物是鐵片,還會因氧化釋出對視神經和視網膜具有毒性的鐵離子,使視力受損。
何明山醫師指出,以花蓮慈院眼科門診來說,約二至三個月就會有一名患者因未正確防護而發生割草機意外,需就醫治療;即便現今除草設備和技術都相當進步,類似意外仍層出不窮,因此最重要的仍是全程做好全身防護,且不能有僥倖心態,以免導致不可逆的視力損傷。

