【記者范家豪高屏報導】婦女面對骨盆腔腫瘤手術,難免擔憂腹部留疤影響美觀,屏東基督教醫院引進微創單孔腹腔鏡手術,已為20多名婦女進行卵巢囊腫、子宮肌瘤等手術,術後幾乎看不出傷口且病人普遍反應疼痛度低。
屏基婦產科主任劉士傑表示,傳統腹腔鏡手術要在腹部打3至4個小洞,而單孔腹腔鏡手術則是在肚臍裡面切開一個2至3公分的傷口進行微創手術,傷口越少當然疼痛感越少,術後恢復時間更短,住院天數也減少,提早恢復日常活動,且由於傷口藏在肚臍內,手術後幾乎看不到、更為美觀;切口引起相關併發症的機會,也相對來得少。目前幾乎大多數婦科腫瘤手術,例如全子宮切除、子宮肌瘤切除、卵巢腫瘤切除、子宮外孕及輸卵管結紮手術等都可用單孔腹腔鏡手術治療,不過仍須視病人個別狀況來評估最合適的手術方式。

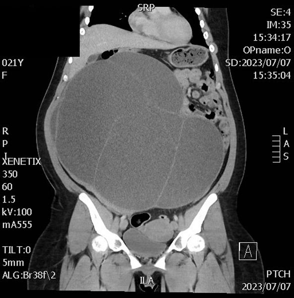
月前兩名60歲及21歲女性都因為肚子越來越大到屏基就醫,經過超音波、電腦斷層檢查發現兩位都罹患卵巢囊腫,且腫瘤已經有30公分大小,隨後進行單孔腹腔鏡手術將腫瘤切除取出,順利出院。
劉士傑指出,卵巢囊腫經常發生在20至50歲女性身上,大部分是良性的,初期沒有明顯症狀,通常是在囊腫大到壓迫周圍器官時才感覺不適,病人多半以為自己變胖成了「小腹婆」而不在意;或感覺肚子脹脹的以為有宿便、消化不良等腸胃問題,劉主任建議女性朋友定期進行健康檢查,檢查項目除了婦科超音波外;也抽血檢驗卵巢癌指標如Ca-125,Ca-199, B-HCG等,以期及早發現婦科腫瘤。
